지금 느끼는 턱관절 통증
몸이 보내는 SOS입니다.

  • 턱관절통증

    턱에서 소리 나고
    통증이 느껴지는 경우

    저작 불균형, 관절 마모, 턱 비대칭
  • 턱관절통증

    수면 중
    이갈이가 심한 경우

    두통, 목 · 어깨 결림, 치아 마모
  • 턱관절통증

    입을 크게
    벌리기 힘든 경우

    구강 개폐 제한, 근육 경직, 이갈이 악화
  • 턱관절통증

    두통 · 목 · 어깨 결림이
    반복되는 경우

    교합 붕괴, 턱관절 과부하, 잇몸 통증

턱관절 치료 방법

환자 개개인의 턱관절 상태에 맞춰,
약물 치료 · 물리치료 스플린트 요법 등 다양한 맞춤 치료를 진행합니다.

턱관절치료방법
  • 이갈이
    &턱관절 질환에 따른

    보톡스 치료

  • 저 · 고주파 & 적외선
    & 레이저 치료를 동반한

    물리치료

  • 4가지의
    각기 다른 증상별

    맞춤형 스플린트

  • 치위생사와 치과의사가
    직접 진행하는

    생활습관 예방 및 약물 치료

리봄치과는,

자체 기공실에서 환자의 증상에 맞는
1:1 맞춤 스플린트를 제작합니다.

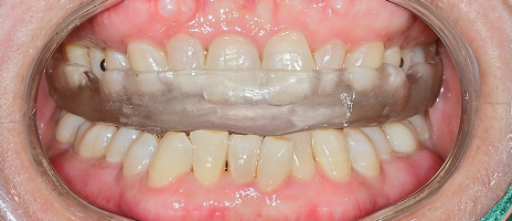
  • 스플린트

    교합안정 장치 Stabilization Splint

    스플린트
  • 스플린트

    전방위치 장치 Anterior posotioning splint

    스플린트
  • 스플린트

    이갈이 장치 Anterior Bite Splint

    스플린트

보톡스 치료 후 이갈이 환자의
저작근 통증 완화율 최대 70%

리봄치과에서 보톡스를 이용한 이갈이 환자의
약 40~70%가 통증감소와 근육의 감소를 보였습니다.

통증완화율

mark보톡스 치료, 이런분께 권장드립니다.

  • 잠을 자고 일어나면
    턱이 뻐근하다.
  • 집중하다 보면
    이를 꽉 깨무는 버릇이 있다.
  • 단단하고 질긴
    음식을 즐겨 먹는다.
  • 치과에서 치아에
    크랙이 있다는 진단을 받았다.

리봄치과는 검증된 독일 제오민으로,
내성 걱정 없는 보톡스 치료를 진행합니다.

Botox (r) : Boutulinum toxin 은 원래 치료용으로 개발된 약물로,
피부과에서 미용 목적으로 활용되기 이전부터
근육 긴장 완화와 통증 조절 등 의학적 치료 목적으로 먼저 사용되어 왔습니다.

  • 피부과 (미용)

    보톡스치료 한 부위당 5유닛 - 25유닛
  • 리봄치과 (의료)

    보톡스치료 근육당 25유닛 - 저작근 전체 100유닛
  • 보톡스치료 주기적인 접종 필요 (6개월 - 1년)
눈으로 확인하는 리봄치과의 보톡스 치료 전후

BEFORE & AFTER

치료전
치료후

2025.03.15 - 2025.11.04

치료전
치료후

2025.01.20 - 2025.06.02