임플란트는 치료의 끝이 아니라,
삶을 다시 여는 시작입니다.

풍부한 임상 경험과 정석적인 치료로, 20년 이상을 내다봅니다.

더보기

리봄치과는 내 가족을 치료한다는 생각으로 꼭 필요한 곳에만 식립합니다.

뼈 이식과 교합 안정까지 철저히 하는 정석적인 치료,
풍부한 임상 경험으로 20년 이상 사용할 수 있는 임플란트를 목표로 합니다.
그리고 치료 후에도 꾸준한 사후 관리로, 건강하게 사용하시도록 도와드리겠습니다.

평생을 쓰는 임플란트
1mm 작은 차이도 놓치지 않습니다.

임플란트

자체 기공실에서 대표원장이 직접 진행합니다.

  • 임플란트

    정밀 진단 및 모의 시술

    구강 스캔 · CT · X-RAY로
    뼈와 신경 위치를 확인
  • 임플란트

    맞춤 가이드 디자인

    임플란트 위치 · 각도
    시뮬레이션 후 가이드 디자인
  • 임플란트

    3D 프린터 제작

    설계된 가이드를
    3D 프린터로 제작 후 확인
  • 임플란트

    수술 후 사후관리

    사전에 계획된 위치에 식립한 후,
    결과 확인과 사후 관리 상담 진행

한 끼가 두려웠던 날들,
이젠 모든 식사가 기쁨입니다.

님플란트

수술 당일에 바로 임시치아까지!
하루에 끝나는 "하루트"

리봄 하루트는 3D CT 촬영과 철저한 디지털 모의시술로 최소 절개로 당일 임시보철물까지 완성합니다.

일반 임플란트

  • 발치
  • 잇몸회복
  • 픽스쳐 식립
  • 어버트먼트 연결
  • 임시보철물 장착

리봄 하루트

  • 발치 + 잇몸회복 + 픽스쳐 식립 + 어버트먼트 연결 + 임시보철물 장착
  • 하루트

    자체 제작 크라운

  • 하루트

    임플란트 식립

  • 하루트

    당일 완성된 구강 내 모습

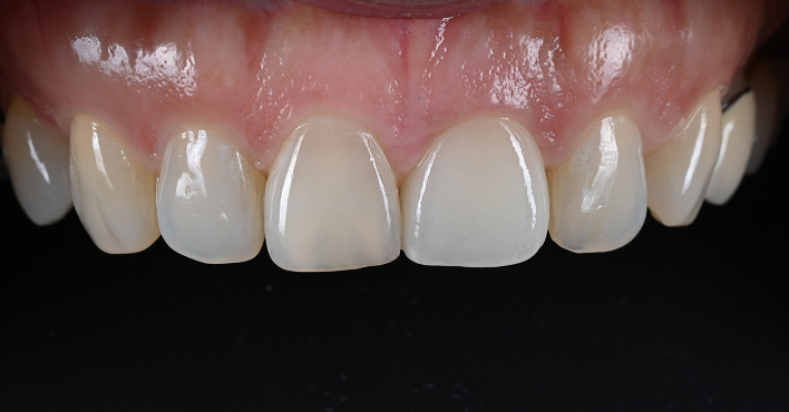
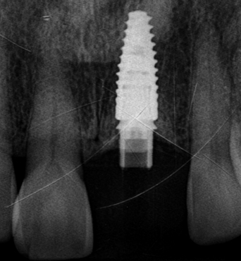
리봄치과의 임상증례 공개는 자신감입니다.

BEFORE & AFTER

이전
다음

01임플란트2023.06.02 - 2025.03.26

BeforeAfter

02임플란트2023.08.16 - 2024.07.16

BeforeAfter

03임플란트2020.10.12 - 2021.08.30

BeforeAfter

04임플란트2020.08.17 - 2021.05.24

BeforeAfter

05임플란트2020.10.24 - 2021.08.10

BeforeAfter

06임플란트2020.04.17 - 2021.01.15

BeforeAfter