처음부터 전체를 보는
교정을 택하셨더라면 · · ·

뒤늦게 오시는 분들을 보면 늘 안타깝습니다.
충치와 보철, 교합까지 함께 보지 못한 채 단순히 치아 배열만 교정하다가,
다시 치료를 시작해야 하는 경우가 많기 때문입니다.

리봄치과는 다릅니다.
대표원장과 연세대 박사출신 교정과 전문의 2인이
초진부터 진료 마무리까지 함께 협진하며,

치아 배열은 물론 전체 교합까지 고려한 토탈 교정을 진행합니다.
환자분들의 80% 이상이 소개로 내원하는 이유, 결과로 증명합니다.

리봄치과
치아교정

80%의 소개율

다시 찾는 이유 후기로 증명합니다.
후기
후기
후기
후기
후기
후기
후기
후기
후기

나에게 맞는
치아교정은 따로 있습니다.

리봄치과는 교정과 전문의와 대표원장이 함께 협진하여, 환자 개개인의 치아 상태와 생활 환경을 면밀히 고려합니다.
브라켓 교정, 인비절라인, 설측 2D 교정 등 다양한 치아교정 중에서 가장 적합하고 현실적인 교정 솔루션을 제안해드립니다.

브라켓 교정은 오로지
자가결찰 장치로만

자가결찰 장치는 전통적인 장치보다 치아가 이동할 때
불필요한 저항이 적고 보다 효율적으로 움직일 수 있습니다.

초기 교정 과정에서 느껴지는 압박감과 불편감이 완화되고,
치아 이동 속도도 보다 안정적이고 자연스럽게 진행됩니다.
또한 결찰선이 없어, 교정 과정에서 느끼는 압박감과 불편함이 최소화됩니다.

리봄치과는 클리피씨 , S-LINE 정품만을 사용합니다.

  • 자가결찰장치
  • 자가결찰장치

박사출신 교정과 전문의
인비절라인 투명교정

심미성이 뛰어나 ‘연예인 교정’으로도 잘 알려진 투명 교정장치로,
3D 시뮬레이션을 통해 교정 과정을 미리 확인할 수 있습니다.

리봄치과는 인비절라인 공식 인증의 2인 체제로
풍부한 임상 경험을 바탕으로 단순 교정부터 고난도 교정까지 모두 가능합니다.

  • 우수한 심미성
  • 탈착 가능
  • 적은 통증
  • 과정/결과 예측

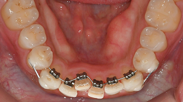
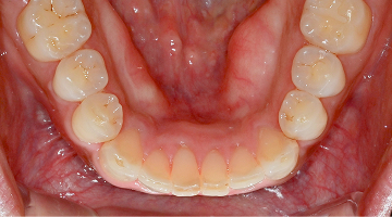
대표원장이 직접
진행하는 설측 2D교정

설측 2D교정은 치아 안쪽에 장치를 부착해
겉으로 보이지 않게 교정하는 고난이도 치료입니다.

리봄치과는 독일 Forestadent사의 2D 설측교정 시스템을 사용하여
현존하는 설측 교정장치 중에서 1.3mm 초슬림 장치로
가장 이물감이 적고 발음·식사 시 불편함을 최소화합니다.

심미성과 편안함을 모두 갖춘 최신 교정 방식입니다.

  • 전
  • 후

mark본 사진은 동일 환자의 치료 전후 사례로, 동의를 받아 촬영·게시하였으며, 치료 결과는 개인의 구강 상태에 따라 차이가 있을 수 있습니다.

연령별 맞춤 치아교정 프로그램

  • 치아교정프로그램

    어린이 성장기 턱교정

    턱의 성장 방향과 균형을 조절해
    골격 부조화를 예방하고
    얼굴 라인을 바르게 잡아주는 교정입니다.
    치아 배열보다 턱뼈의 성장 유도에 초점을 둡니다.
    골든타임이 중요한

    어린이 성장기 턱교정

  • 치아교정프로그램

    청소년·성인 교정

    치아 배열과 교합을 정밀하게 맞추는 교정으로
    심미 개선과 기능적 안정성을 동시에 추구합니다.
    장치 (자가결찰, 인비절라인, 설측 등)에 따라
    생활 속 불편함을 최소화할 수 있습니다.
    인상을 바꾸는 시기

    청소년 · 성인 교정

  • 치아교정프로그램

    중장년 치아교정

    잇몸 건강을 고려한 안전한 교정으로
    치아의 기능 회복과 수명 연장을 돕습니다.
    무너진 교합을 바로잡아 저작 기능을 개선하고,
    보철·임플란트 전 교합 정리에도 효과적입니다.
    저작 기능과 심미를 되찾는,

    중장년 치아교정

눈으로 확인하는 리봄치과의 치아교정 전후

BEFORE & AFTER

이전
다음

01성장교정 (Twin block) 2022.03.21 - 2024.06.20

BeforeAfter

02전체교정 2023.01.17 - 2024.01.03

BeforeAfter

03장년층 치아교정 2023.04.21 - 2025.03.31

BeforeAfter

04보철을 동반한 치아교정 2022.03.01 - 2024.12.03

BeforeAfter

05치아교정+세라핏 2024.02.23 - 2025.02.24

BeforeAfter

06상하부분교정+세라핏 2024.02.23 - 2024.11.21

BeforeAfter

07소아교정 2023.07.01 - 2024.06.17

BeforeAfter

08설측 2D 교정 2023.10.26 - 2024.02.13

BeforeAfter