라미네이트
더보기

세라핏과 다이아핏은

개개인의 치아를 정밀 분석하여 1:1 맞춤 수제작으로,
파우더 레이어링 기법을 통해 자연 치아 본연의
다층 색감과 깊이를 재현한 하나의 작품입니다.

우리는 단순히
하얗게 만들지 않습니다.

세라핏 · 다이아핏이 특별한 이유 세라핏 · 다이아핏이 특별한 이유

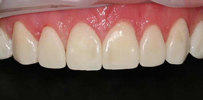
최근 라미네이트는 공장에서 찍어낸 듯, 지나치게 하얗고 불투명한 경우가 많습니다.
하지만 자연 치아는 결코 단일한 흰색이 아닙니다.

법랑질과 상아질이 층상 구조(Stratification) 로 겹겹이 쌓이며,
빛의 투과와 반사 속에서 multichromaticity(다색성)와 translucency(투명감) 를 드러냅니다.
세라핏과 다이아핏은 단순히 하얗게 만드는 것을 넘어,
치아 본연의 자연스러운 색과 깊이를 재현합니다.

리봄치과의
100% 수제작이 특별한 이유

Why?

하루가 아닌, 2주를 담은 완벽함*제작 기간 약 1~2주

리봄치과의 라미네이트는 숙련된 테크니션이
전 과정을 직접 손으로 만드는 100% 수제작 공정입니다.
  • 강도

    기계 절삭 방식보다 강도와
    내구성이 높아 균열 가능성이
    현저히 낮습니다.
  • 심미성

    직접 손으로 한 층씩
    레이어링하여 1:1 맞춤 형식으로
    색과 투명도를 재창조합니다.
  • 적합도

    모델 위에서 제작하기에
    0.01mm 단위 정밀도로
    치아와 완벽 밀착이 가능합니다.
라미네이트

얼굴 전체 밸런스를 고려한
스마일 디자인을 기반으로 진행됩니다.

스마일 디자인을 통해 3D 프린트된 임시 보철물을 직접 장착해본 후
맞춤 진단을 통해 꼭 필요한 부분에만 개개인에 맞는 솔루션을 제공합니다.

  • 스마일디자인

    치축 및 교합평면 분석

    치아 각도와 교합평면의 기울기를 분석해
    비대칭 여부와 필요한 보정요소를 3D스캔을 통해 정밀하게 확인합니다.
  • 스마일디자인

    1:1 맞춤 치아 디자인

    개인의 얼굴형, 미소 라인, 치아 비율을 고려해 가장
    자연스럽고 조화로운 치아형태를 설계합니다.
  • 스마일디자인

    잇몸 성형 가이드 설계

    잇몸 성형이 필요한 경우, 정확한 삭제 범위를 결정하여
    디지털 가이드를 3D 프린팅을 통해 제작합니다.
  • 스마일디자인

    스마일 디자인 완성

    PMMA 임시치아를 직접 구강 내에 시적 후
    형태 및 배열에 관한 맞춤 상담을 진행합니다.
나에게 맞는 라미네이트는?

세라핏 VS 다이아핏

세라핏

완벽하게 선명하게

  • 리튬디실리케이트 기반 세라믹
  • 약 380MPa, 자연치의 약 3배 수준
  • 빛을 섬세하게 분산시켜 선명하고 깊이 있는 광채
  • 디지털 디자인과 프레스 공법 결합으로
    정밀한 밀착감과 균형 잡힌 교합 구현
  • 변색·마모에 강해 색상 유지 우수 고강도 구조로 파절 위험 최소화 섬세한 레이어링으로 투명과 밝음을 동시에 구현
  • 또렷하고 화사한 미소를 원하는 분 노란 치아를 커버하고 싶은 분 이갈이나 교합이 좋지 않은 분
  • 인플루언서 / 연예인 / 방송인
  • 재료
  • 강도
  • 심미성
  • 정밀도
  • 장점
  • 추천대상
  • 추천직업군
세라핏

자연스럽게 은은하게

  • 고순도 펠드스파 세라믹
  • 약 100~150MPa — 자연치와 유사한 유연성
  • 맑고 부드러운 투명감으로 자연치아 같은 따뜻한 광채
  • 백금박을 이용한 정교한 수공 제작과 미세 레이어링 기술로
    자연치의 색·형태·질감을 완벽히 표현
  • 반투명 효과로 “내 치아 같은” 자연스러움 주변 치아와 자연스럽게 어우러져 적은 개수로도 높은 완성도 치아 삭제를 최소화해 법랑질 보존 극대화
  • 부드럽고 자연스러운 인상을 원하는 분 밝은 톤의 치아를 가진 분 최소 침습 치료를 선호하는 분
  • 오피스직 / 서비스직 / 자연스러운 인상을 중시하는 직업군
인천 유일 치과 자체 제작!

Fit Lab 자체 기공실에서
세라믹 장인이 제작하는 라미네이트

일반적으로 인공 치아 보철물은 치과에서 진단을 마친 후
외부 기공소에 의뢰하여 보철물이 제작됩니다.

리봄치과는 자체기공실이 있어 경험이 풍부한 기공사와
환자의 치료를 직접 담당한 의료진이 함께 수작업으로 보철물 제작을 진행합니다.
환자분 가까이에서 더 빠르고 정확한 보철물을 확인할 수 있습니다.

앞니 심미 보철만 10년 이상,
경험이 다릅니다.

앞니에 진심인 앞니치료 전문가 박현호 대표원장이 직접 진료합니다.

  • 보건복지부 인증 통합치의학과 전문의

  • 대한 심미치과학회 정회원
  • 대한 치과보철학회 정회원
  • 국제앞니치료연구회 정회원
  • ICGA 정회원
  • 스트라우만 임플란트 임상자문위원
  • 오스템 임플란트 연구자문위원

  • 오스템 Proffesional sinus surgery course
  • 오스템 Implant Master course
  • Oral design Non-prep Veneer course
  • 3 Shape Super Class course

더 오래 간직하는 아름다움,
10년 보증 서비스

리봄치과의 보증기간은 근거 있는 자신감입니다.
치료는 시술로 끝나지 않습니다.
회복 과정과 사후 케어까지 지속적인 케어를 약속드립니다.

보증 보증
눈으로 확인하는 리봄치과의 심미치료 전후

BEFORE & AFTER

이전
다음

01세라핏 라미네이트 2025.01.09 - 2025.02.28

BeforeAfter

02다이아핏 라미네이트 2025.03.22 - 2025.03.28

BeforeAfter

03세라핏 라미네이트 2024.12.23 - 2025.01.15

BeforeAfter

04다이아핏 라미네이트 2025.10.20 - 2025.10.30

BeforeAfter

05세라핏 라미네이트 2023.11.21 - 2024.12.15

BeforeAfter

06다이아핏 라미네이트 2025.04.14 - 2025.04.18

BeforeAfter

07세라핏 라미네이트 2025.02.25 - 2025.03.20

BeforeAfter

08다이아핏 라미네이트 2025.07.07 - 2025.07.24

BeforeAfter

09세라핏 라미네이트 2023.12.08 - 2023.12.15

BeforeAfter

10다이아핏 라미네이트 2024.10.10 - 2024.11.21

BeforeAfter

11세라핏 라미네이트 2024.08.16 - 2024.08.27

BeforeAfter

12다이아핏 라미네이트 2023.08.24 - 2023.09.07

BeforeAfter

13세라핏 라미네이트 2024.03.19 - 2024.04.16

BeforeAfter

14세라핏 라미네이트 2024.03.22 - 2024.04.02

BeforeAfter

15세라핏 라미네이트 2024.11.27 - 2024.12.20

BeforeAfter